As dentists in private practice, we have daily opportunities to truly change lives. Not every patient requires the most complex or expensive treatment plan, but every patient deserves thoughtful diagnosis, clear planning, and collaborative execution.
This case highlights a full-arch rehabilitation using a complete upper denture and a lower implant-supported overdenture with a Conus friction-fit design. It remains one of the most rewarding treatments I have completed, not because of its complexity, but because of its life-changing impact.
Initial Presentation
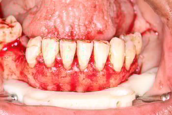
At the initial examination, the patient presented with a terminal dentition requiring comprehensive evaluation. Cases like this demand disciplined attention to prosthetic fundamentals before any surgical decisions are made.
Rather than rushing into implant placement, our team first focused on the core clinical questions: establishing vertical dimension, confirming restorative space, evaluating jaw relationships, and determining the ideal esthetic tooth position. These basics ultimately dictate the predictability of advanced terminal dentition treatment.

Collaborative Treatment Planning
Success in this case depended heavily on communication among the restorative dentist, the laboratory technician, and the implant surgeon (periodontist). This level of dental lab collaboration is critical when planning complex removable and implant-supported cases.
Together with the patient, we elected to begin with immediate dentures. Importantly, we chose not to rush into implant placement, allowing us to establish reliable anatomic landmarks and validate the prosthetic blueprint.
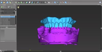
After capturing the intraoral scan (Fig. 3), the laboratory superimposed the CBCT and IOS data. Using my clinical input, the team digitally simulated anterior tooth placement (Fig. 4), supporting a predictable digital denture workflow.

Establishing the Occlusal Plane
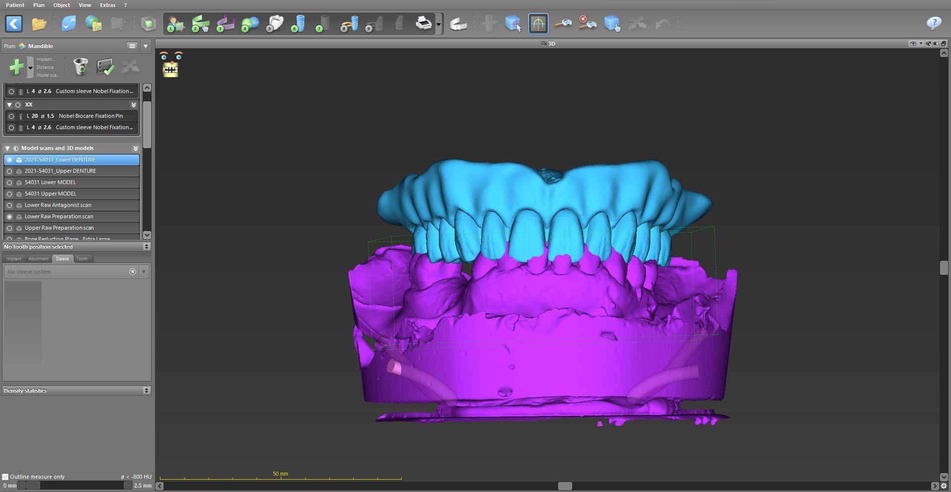
With the proposed tooth position defined, we predicted the ideal lower occlusal plane, which revealed the need for significant bone reduction.
Our primary objective was to achieve proper vertical dimension and sufficient restorative space to support a future implant overdenture, with a minimum clearance of 12–15 mm.
Computer-generated surgical guides were then used to facilitate precise bone reduction in both arches, reinforcing the value of prosthetic-driven planning.
.

Immediate Denture Phase
The immediate upper and lower dentures delivered an exceptional outcome. The new occlusal plane and improved facial esthetics validated the digital planning process and the close partnership with the laboratory team.
While the patient was satisfied with the maxillary removable prosthesis, she desired improved retention and function for the mandibular arch.


Definitive Mandibular Solution: Conus Overdenture
For the lower arch, we selected a Conus overdenture featuring titanium abutments milled to 5 degrees with precisely fitted gold copings. This friction-fit design provides excellent retention while allowing the patient to remove the prosthesis for hygiene.
The approach delivered an ideal balance of stability, cleansability, and long-term serviceability, making the implant overdenture both functional and patient-friendly.
Final Outcome
The reconstruction, an upper complete denture and lower Conus implant overdenture, was not the most extensive treatment available. However, the impact on the patient’s quality of life was profound.
This case reinforces an important clinical truth: predictable success is not always about doing more dentistry. It is about doing the right dentistry, guided by fundamentals, thoughtful digital workflows, and strong collaboration with your laboratory partner.

“Not every case requires the most complex treatment, but every patient deserves thoughtful planning and a predictable outcome. That level of success depends on clear, deliberate communication between the restorative dentist, surgeon, and laboratory. When the team is fully aligned from the start, it shows in the final result.”
– Dr. Barry Goldenberg

