Full-arch implant rehabilitation has advanced significantly since the introduction of the All-on-4 concept; however, many workflows remain constrained by analog records, chairside conversions, and inconsistent transfer of esthetics and vertical dimension of occlusion (VDO). This case highlights a fully digital, model-free All-on-X workflow using EZ Load technology and the Smart Implant Mapping (S.I.M.) device, in which a digitally approved diagnostic design directly links surgical implant placement to the restorative plan, preserving occlusion, esthetics, and VDO from the outset.
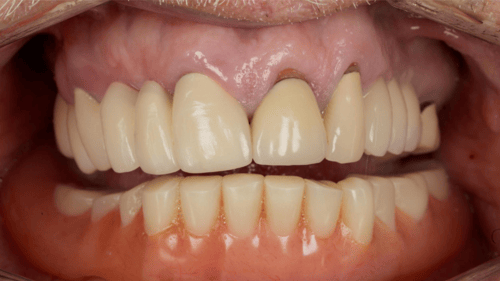
The patient presented with a history of dental implants in the maxillary and mandibular arches. The remaining maxillary dentition exhibited failure, chronic infection, and inflammation.


Preoperative radiograph Patient pre-op, retracted
A digitally driven treatment plan integrated existing implants with newly placed fixtures to support a fixed, implant-supported FP1 prosthesis. All diagnostics—including CBCT, intraoral scans, and patient photography — were digitally captured and approved before surgery.

Pre-op STL file, Diagnostic design, Archived design
During surgery, the S.I.M. device enabled accurate intraoral data capture without photogrammetry or traditional chairside processing.
S.I.M. fixation guide S.I.M. device, seated Implant scan ready
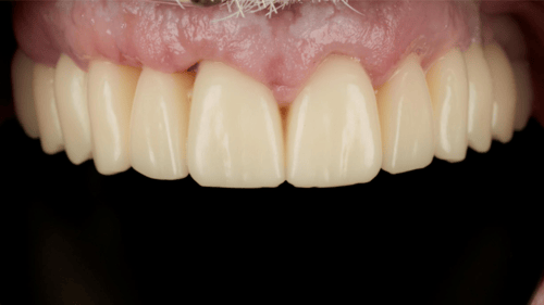
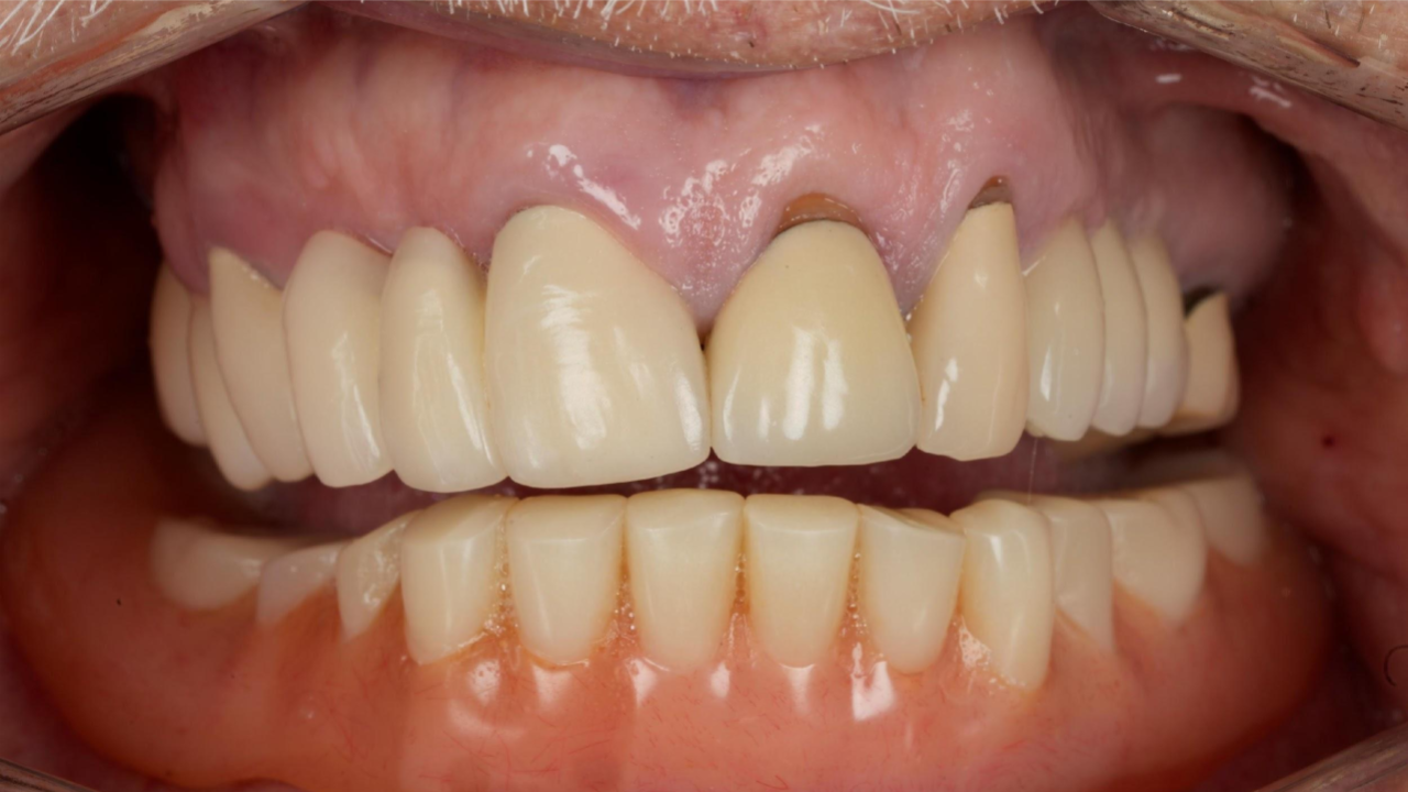
Implant positions were indexed to the archived diagnostic design, enabling a same-day, digitally fabricated conversion prosthesis requiring no luting or bite adjustment. The provisional functioned as both a healing appliance and a prototype for the final restoration.


Implant match Digital conversion prosthesis
By eliminating analog impressions, physical models, and chairside conversions, this EZ Load workflow reduced surgical time and compressed treatment to as few as two predictable clinical appointments. The digitally archived data also enables rapid reproduction of the provisional or final prosthesis, improving efficiency and long-term predictability
