 
      
    
  Where
Burbank Dental Laboratory, Burbank CA
When
Feb. 6-7, 2026
Time
8:30 am - 4:30 pm
8:30 am - 3:00 pm
 
      
    
  Course Description
13 CE Units | Seating is limited
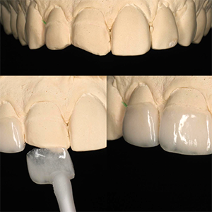
Participants will explore evidence-based strategies for preparation design, shade communication, impression accuracy, treatment planning, and cementation. The Try-In-One (TIO) veneer technique will be examined as a practical system to streamline clinical efficiency and predictability. Through a combination of lecture, literature review, and hands-on application, participants will gain a comprehensive framework for achieving long-term success while preserving natural tooth structure.
$1,295 before November 30th | $1,495 after 11/20/25
Breakfast, lunch, and snacks are included
- Method: Lecture/Participation
- AGD Subject code: 010/780
What You'll Learn
- Identify the relationship between esthetic, adhesive, and restorative principles in achieving predictable veneer outcomes.
- Apply preparation design, shade communication, and impression techniques to optimize clinical success.
- Incorporate the Try-In-One (TIO) veneer technique into the clinical workflow for improved efficiency and predictability.
- Evaluate diagnostic protocols and treatment planning strategies that contribute to biomimetic, minimally invasive restorations.
- Demonstrate effective communication skills for patient education and post-cementation care.
 
      
    
  Meet the Instructor
 
                        
                      Dr. Brian LeSage
Dr. Brian LeSage is an internationally recognized leader in esthetic and reconstructive dentistry with over 35 years of experience in Beverly Hills. A Fellow of both the AACD and AAED, and current President-Elect of the AAED, he has taught thousands of clinicians worldwide and published extensively on veneers, bonding, and adhesive techniques.
Founder of the UCLA Esthetic Continuum and The Beverly Hills Institute of Dental Esthetics, Dr. LeSage is celebrated for his expertise in minimally invasive cosmetic dentistry and his dedication to advancing clinical excellence.
